1. DESCRIBA EL USO E IMPORTANCIA DE CADA TIPO DE RADIOGRAFÍA.
2. REALICE LAS ACTIVIDADES PRESENTADAS SOBRE RADIOGRAFÍAS PANORÁMICAS.
3. EN BASE A LA TEORÍA DISCUTIDA REALICE LA INTERPRETACIÓN RADIOGRÁFICA DE LAS SIGUIENTES IMÁGENES....

4. EN RELACIÓN A LA ENFERMEDAD PERIODONTAL....
DESCRIBA COMO SE OBSERVAN RADIOGRÁFICAMENTE LAS ESTRUCTURAS QUE PERMITEN REALIZAR EL DIAGNÓSTICO DEL ESTADO PERIODONTAL Y POSTERIORMENTE INDIQUE LO OBSERVADO EN CADA CASO:


Nombre: Daniela Rattia
ResponderEliminarCI: 26.714.685
Sección: 10301
1. DESCRIBA EL USO E IMPORTANCIA DE CADA TIPO DE RADIOGRAFÍA
Radiografía Interproximal: son importante para el estudio sistemático y exploración de las caries dentales. Se pueden apreciar caries interproximales y oclusales, restauraciones desorbordante, ajustes de prótesis fijas y también alteraciones pulpares.
Usos:
Visualizar profundidad de caries
Visualizar Fracturas Coronales
Estado de las obturaciones
Calcificación de las unidades dentarias
Reabsorciones de esmalte
Dentina
Radiografía Periapical: Esta técnica de radiografía intrabucal periapical también denominada retroalveolares o retrodentaria, es de vital importancia para visualizar el diente en su totalidad desde su corona hasta su ápice, el espacio periodontal y tejido oseo que lo rodea.
Usos:
Enfermedad periodontal
Tratamientos de conductos
Lesiones Apicales
Fracturas radiculares y de coronas
Radiografía Oclusal: Es importante para estudios más amplios de áreas oseas, fracturas alveolares, palatinas o del cuerpo mandibular, limites de lesiones quisticas o tumorales, dientes incluidos, cuerpos extraños o cálculos del conducto de Wharton.
Usos:
Localizar raices de molares extraidos
Localizar cuerpos extraños
Evaluar y localizar lesiones
Evaluar fracturas de maxilar o mandibula
Localizar miembros supernumerarios erupcionados.
Radiografía Panorámica: Es una herramienta indispensable para el diagnostico, control, evaluación o estado que se encuentre la dentadura general de un paciente, podemos evaluar estado y posición de los terceros molares o cordales es indispensable para iniciar un tratamiento de ortodoncia.
Usos:
Evaluación de traumatismo
Anomalías de desarrollo
Detección temporal, mixta y permanente
Quistes de los maxilares
Fracturas de la bóveda craneal
INTERPRETACIÓN RADIOGRÁFICA
PRIMERA IMAGEN: Imagen radiolucida compatible con caries oclusal UD#36 avanzada con compromiso de dentina, pulpa y lesión en furca. Imagen radiopaca compatible con espacio del ligamento periodontal ensanchado. Imagen radiopaca compatible con cresta alveolar reducida UD 34, 35 Y 36. Imagen radiolucida compatible con reabsorción radicular proximal UD 34, 35 y 36
SEGUNDA IMAGEN: Imagen radiolucida compatible con caries interproximal incipiente en la UD 54 por Distal y 55 por Mesial superior, imagen radiolucida compatible con caries interproximal inferior UD 83 por Distal incipiente, 84 por Diistal caries avanzada con compromiso dentina y pulpa y 85 por Mesial con compromiso de dentina.
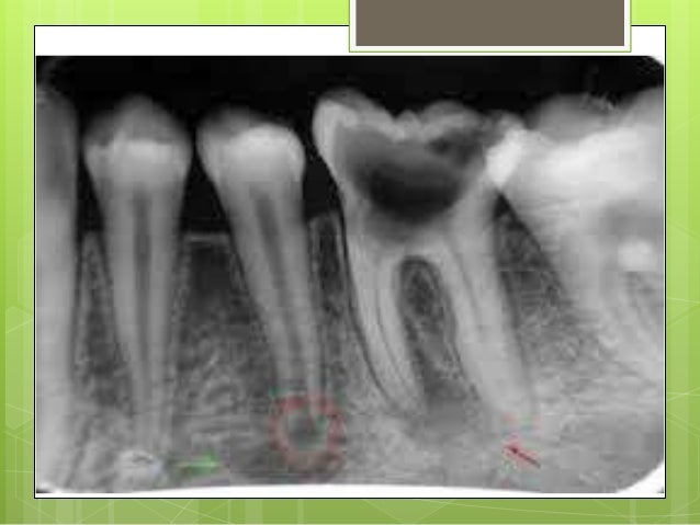
TERCERA IMAGEN: UD 36 Imagen radiolucida compatible con caries avanzada proximal por distal con compromiso de dentina y pulpa y por mesial con compromiso de dentina profunda. Imagen radiopaca compatible con espacio del ligamento periodontal ensanchado. UD 35 imagen radiolucida con caries avanzada proximal por distal con compromiso de dentina y pulpa.
CUARTA IMAGEN: imagen radiopaca compatible con altura de cresta alveolar disminuida de forma generalizada y discontinuidad de la lámina. Imagen radiopaca compatible con espacio del ligamento periodontal ensanchado
QUINTA IMAGEN: Imagen radiopaca compatible con espacio de ligamento periodontal ensanchado en UD 31,32,41 y 42. Imagen radiopaca compatible con altura de cresta alveolar disminuida de forma generalizada imagen radiolucida compatible con reabsorción radicular proximal.
SEXTA IMAGEN: UD #37 imagen radiopaca con bordes radiolucidos compatibles con restauración defectuosa con compromiso de dentina y pulpa, UD 36 imagen radiolucida compatible con caries proximal por mesial. Imagen radiopaca compatible con espacio de ligamento periodontal ensanchado UD 35, 36 y 37, imagen radiopaca compatible con cresta alveolar reducida de forma generalizada.
SEPTIMA IMAGEN: UD #47 imagen radiopaca compatible con cresta alveolar reducida de forma vertical por mesial. Imagen radiopaca compatible con espacio del ligamento periodontal ensanchado de la UD 47
Este comentario ha sido eliminado por el autor.
ResponderEliminarEldymar Martinez
EliminarCI:26.565.011
SECCION:103OA
ACTIVIDAD1: DESCRIBA EL USO E IMPORTANCIA DE CADA TIPO DE RADIOGRAFIA
RADIOGRAFIA PERIAPICAL:Esta radiografía es más concreta de una zona determinada de la boca para poder evaluar el estado de dos o tres dientes. Es una radiografía que se toma hasta la raíz y el odontólogo consigue hacerse una idea efectiva y certera de la situación global del diente.
USOS :
Caries
Enfermedad periodontal
Durante una endodoncia
Lesiones apicales
Fracturas apicales y coronarias
RADIOGRAFIA INTERPROXIMAL: Se utiliza para observar las zonas de unión entre los dientes, generalmente para la zona entre los premolares y los molares, de difícil acceso visual. Con esta radiografía el odontólogo puede determinar si existe la presencia de caries interproximales
USOS :
Caries interproximales
Estado de obsturaciones
Reabsorciones de esmalte
Dentina
RADIOGRAFIA OCLUSAL: es un tipo de radiografía intraoral, ya que se realiza desde el interior de la boca. En este caso la placa se coloca sobre la de la arcada inferior y es mantenida por el paciente entre las dos arcadas como si estuviera mordiendo algo.Se utiliza como complemento de los procedimientos periapicales para estudios más amplios de áreas óseas, ya que permite visualizar las estructuras presentes en el suelo de la boca o en el paladar.
Fracturas del alveolo
Límites de lesiones quísticas o tumorales
Dientes incluidos
Dientes supernumerarios no erupcionados
Evaluar fracturas del maxilar o mandibula
USOS
RADIOGRAFIA PANORAMICA: es una técnica radiológica que representa, en una única película, una imagen general de los maxilares, la mandíbula y los dientes.
USOS
Detectar caries dental
Detectar restauraciones defectuosas
Detectar dientes incluidos y supernumerarios
Evaluar fracturas de maxilar y mandibula
Evaluar la presencia de dientes permanentes y dentadura temporaria
Kimberly León
EliminarPRIMERA PARTE
C.I 26.066.775
Sección: 103OA
1. DESCRIBA EL USO E IMPORTANCIA DE CADA TIPO DE RADIOGRAFÍA
RADIOGRAFÍA INTERPROXIMAL: es importante para el estudio sistemático y exploración del espacio interproximal y oclusal, puesto que esta técnica permite obtener una imagen de las coronas, los espacios interproximales y zonas cervicales de los dientes del maxilar y de la mandíbula, así como de las crestas alveolares, obteniendo al mismo tiempo imágenes de los dientes superiores e inferiores; y permite estimar la profundidad de las lesiones para poder hacer un seguimiento de las mismas. Funciona para: Visualizar caries interproximales y oclusales, estudiar la cresta ósea interdentaria, evaluar el contorno de las restauraciones, visualizar ajustes de prótesis fijas, visualizar alteraciones pulpares, visualizar fracturas coronales, estudiar la relación caries-cámara pulpar y restauración- cámara pulpar, estado de las obturaciones, reabsorciones de esmalte y dentina
RADIOGRAFÍA PERIAPICAL: Es importante porque gracias a este tipo de radiografías el especialista tendrá la oportunidad de estudiar cualquier parte del diente: ápice, raíz, corona, espacio periodontal y tejido óseo. Funciona para: Detectar enfermedad periodontal, visualizar caries profundas, detectar infección o inflamación apicales, valorar la morfología radicular antes de las extracciones, evaluar postoperatoriamente los implantes, evaluar detalladamente quistes apicales y otras lesiones dentro del hueso alveolar, tratamientos de conductos, lesiones apicales, fracturas radiculares y coronales
RADIOGRAFÍA OCLUSAL: Es importante porque muestran la imagen de un arco dental en una sola película, permitiendo un estudio amplio fracturas alveolares, palatinas o del cuerpo mandibular, se puede decir que también es importante porque se trata de una opción idónea para aquellos pacientes que requieran un estudio más amplio de las zonas óseas y es que a través de esta perspectiva se consigue una mejor visión de las estructuras que se localizan en el paladar y suelo de la boca. Funciona para: Localizar raíces de piezas dentarias extraídas, localizar cuerpos extraños o dientes incluidos, evaluar y localizar lesiones, evaluar fracturas alveolares, palatinas o del cuerpo mandibular, observar los límites de lesiones quísticas o tumorales, localizar miembros supernumerarios no erupcionados y detectar cálculos de la glándula submandibular
RADIOGRAFÍA PANORÁMICA: Es importante porque en una sola radiografía obtenemos información del estado general de las estructuras dentarias, de los maxilares y las estructuras adyacentes, permitiendo detectar oportunamente defectos del desarrollo y otro tipo de alteraciones. Adicional a esto se puede decir que es una técnica extra oral rápida y sencilla de realizar, cuya dosis de radiación que emplea es bajo. Funciona para: Planear un tratamiento para implantes dentales, verificar si hay muelas de juicio impactadas. detectar problemas mandibulares, detectar mal posiciones dentarias, valorar al paciente al inicio de los tratamientos dentales, detectar ausencias dentarias o dientes supernumerarios, detectar alteraciones dentarias en general, detectar dentadura temporal, mixta o permanente, valorar lesiones radiolucidas, radiopacas y mixtas en los maxilares y zonas adyacentes (odontomas, calcificaciones, quistes, tumores, lesiones óseas, etc), detectar fracturas dentoalveolares y maxilares evaluar patrones de erupción dental, crecimiento y desarrollo, determinar la extensión de distintas lesiones de los maxilares, valorar previamente al tratamiento de ortodoncia y, para detectar caries, aunque no es el mejor método a menos que estén muy profundas y avanzadas.
Kimberly León
ResponderEliminarSEGUNDA PARTE
C.I 26.066.775
Sección: 103OA
2. Y 4. INTERPRETACIÓN RADIOGRÁFICA
PRIMERA IMAGEN: 1) unidad dentaria #36. Imagen radiolúcida compatible con caries dental oclusal, que muestra compromiso de esmalte, dentina y pulpa. Imagen radiolúcida a nivel del #36 compatible con lesión de furca.
2) imagen radiolúcida compatible con espacio del ligamento periodontal ensanchado.
3) Imagen radiolúcida a nivel del ápice de las unidades dentarias #35 y #36 compatible con lesión apical.
4) imagen radiopaca compatible con cresta alveolar reducida en unidades dentarias #34, #35 y #36.
SEGUNDA IMAGEN:1) imagen radiolúcida compatible con caries dental interproximal incipiente en unidad dentaria #55 en mesial y en la unidad dentaria #54 en distal, que abarca esmalte.
2) imagen radiolúcida compatible con caries dental interproximal moderada de las unidades dentarias #83 en distal y #85 en mesial con compromiso de esmalte y dentina.
3) imagen radiolúcida compatible con caries dental interproximal severa de la unidad dentaria #84 en distal, con compromiso de esmalte, dentina y pulpa
TERCERA IMAGEN: 1) imagen radiolúcida compatible con caries dental interproximal avanzada de la unidad dentaria #46 con compromiso de esmalte, dentina y pulpa.
2) imagen radiolúcida compatible con espacio del ligamento periodontal ensanchado.
3) imagen radiolúcida compatible con caries dental interproximal avanzada de la unidad dentaria #45 con compromiso de esmalte, dentina y pulpa
CUARTA IMAGEN: 1) imagen radiopaca compatible con altura de la cresta alveolar reducida, que muestra pérdida ósea horizontal generalizada y discontinuidad de la lámina.
2) imagen radiolúcida compatible con espacio del ligamento periodontal ensanchado.
QUINTA IMAGEN: 1) imagen radiolúcida compatible con espacio del ligamento periodontal ensanchado de unidades dentarias #31, #32, #41 y #42.
2) imagen radiopaca compatible con altura de la cresta alveolar reducida de forma generalizada.
SEXTA IMAGEN: 1) unidad dentaria #37, imagen radiopaca compatible con restauración ocluso-proximal con bordes radiolúcida compatibles con restauración defectuosa. Imagen radiolúcida compatible con caries interproximal en distal moderada, que compromete a esmalte y dentina.
2) unidad dentaria #36, imagen radiolúcida compatible con caries dental interproximal incipiente en distal.
3) imagen radiolúcida compatible con ligamento periodontal ensanchado.
4) imagen radiopaca compatible con altura de cresta alveolar reducida generalizada.
SEPTIMA IMAGEN: unidad dentaria #47, 1) imagen radiopaca compatible con altura de cresta alveolar reducida, que muestra una perdida vertical severa por mesial, perdida ósea a nivel de furca y distal de la unidad dentaria.
2) imagen radiolúcida compatible con espacio del ligamento periodontal ensanchado.
3) imagen radiopaca compatible con restauración oclusal.
Este comentario ha sido eliminado por el autor.
ResponderEliminarNombre: Cleyne gandica
ResponderEliminarC.I: 24.337.379
SECCION: 103OD
Radiografía interproximal: es importante ya que a través de esta técnica se obtiene las imágenes de las coronas y las zonas cervicales de los dientes maxilar y de la mandíbula así como las crestas alveolares
Usos
• Permite el estudio del espacio interproximal
• Permite el diagnostico de las caries interproximal
• Permite el diagnostico de las caries recidivante
• Permite el estudio de la cresta ósea interdentaria
• Permite evaluar el contorno de las restauraciones
• Estudiar la relación caries, cámara pulpar
• Estudiar la relación restauraciones cámara pulpar
Radiografía oclusal: es significativa ya que podemos utilizarlo como complemento de los procedimientos periapicales para estudios más amplios de áreas óseas, debido a que permite visualizar las estructuras presentes en el suelo de la boca o en el paladar.
Usos:
• Identificación de lesiones grandes
• Determinar la ubicación buco lingual de las lesiones
• Determinar el desarrollo de la dentición
• En pacientes con trismos
• fracturas del alveolo
• los límites de lesiones quísticas o tumorales
• dientes incluidos
• cuerpos extraño
Radiografía panorámica: Es una técnica necesaria para la evaluación, diagnóstico y control del paciente, además que ella nos dará una visión más amplia de la cavidad bucal incluyendo la articulación temporo mandibular, los senos paranasales, tabique nasal y estructuras que rodean la nariz, ya que cuando hay problemas respiratorios se detectan entre otras cosas pólipos paranasales y desviaciones de tabique nasal siendo indispensable para el comienzo de ciertos tratamientos tales como la ortodoncia
Usos:
• Evaluación de los terceros molares
• Evaluación de traumatismos
• Retención de dientes, remanentes radiculares
• Dentición temporal, mixta y permanente
• Anomalías de desarrollo
• Pacientes edentulos
Radiografía periapical: Es una técnica que nos ayudara a explorar toda la zona alveolo dentaria, desde la corona dentaria al área periapical, visualizando el espacio periodontal y el hueso maxilar que rodea al diente, esta técnica es adecuada y suficientes para el estudio dentario y peridentario exigido en la patología bucal que ocupa nuestra especialidad.
Usos:
• Grado de calcificación de la cámara pulpar y conductos radiculares
• Disposición, grado de curvatura y número de conductos radiculares
• Lesiones periapicales presentes
• Grado de deterioro de la corona clínica por exposición a caries, obturaciones con más de tres caras y trauma
• Lesiones periodontales, como pérdida ósea vertical y lesiones de furca en multirradiculares, concomitantes con alteración pulpar.
• Postoperatorio inmediato.
Nombre: Cleyne gandica
ResponderEliminarC.I: 24.337.379
SECCION: 103OD
Interpretación radiográfica
Primera Imagen: Imagen radio lucida a nivel coronal compatible con caries oclusal avanzada en la UD 36, también presenta un absceso a nivel apical en la UD 35 y 36 y un ensanchamiento del ligamento periodontal
Segunda imagen: Imagen radio lucida con caries interproximal inferior en la UD 84 por mesial y 85 por distal proceso carioso avanzado, lesión incipiente sin compromiso de dentina en la UD 83 por mesial y a nivel superior caries interproximal en la UD 54 por distal y 55 por mesial
Tercera imagen: Imagen radio lucida compatible con caries avanzadas en ambos dientes, en la UD 35 presenta caries proximal grave con destrucción de dentina y en la UD 36 por mesial caries proximal avanzada y por distal lesión grave compromiso de dentina y pulpa
Cuarta imagen: imagen opaca presenta reabsorción ósea y reabsorción gingival además de movilidad dentaría en la UD 45 y 46
Quinta imagen: imagen radio lucida con dilaceración de las raíces hacia distal en la UD 31 y 41, imagen radio opaca con ensanchamiento de ligamento periodontal en la UD 31,32,41 Y 42 además presentan reabsorción ósea
Sexta imagen: Imagen radiopaca con ensanchamiento del ligamento periodontal en la UD 35, 36 y 37, también imagen radio opaca compatible con restauraciones defectuosas a nivel interdental en la UD 37, Imagen radio lucida a nivel mesial en la UD 36 lesión proximal leve.
Séptima imagen: imagen opaca presencia de reabsorción ósea y gingival en la UD 47, además de periodontitis y cálculo
Describa como se observan radiográficamente las estructuras que permiten realizar el diagnóstico del estado periodontal
• Según la cantidad de hueso remanente
• Según el estado de las crestas alveolares
• Con la pérdida ósea a nivel de las furcaciones
• Dependiendo de la longitud radicular
• La pérdida cortical puede acompañarse de un agrandamiento de los espacios modulares
• El hueso periférico aparece más radiopaco
• Perdida ósea horizontal y muy avanzada
Eldymar Martinez
EliminarCI: 26.565.011
SECCION: 103OA
PRIMERA IMAGEN
Imagen radiolúcida (UD #36) a nivel coronal compatible con caries dental oclusal.
Imagen radiolúcida (UD #36 y #35) a nivel del apice compatible alguna lesión apical y ensanchamiento del ligamento periodontal
SEGUNDA IMAGEN
Imagen radiolúcida (UD #55) por mesial y (UD #54) por distal imagen relacionada con caries dental interproximal sobre estas superficies.
Imagen radiolúcida de unidad dentaria #84 (distal) relacionada con caries dental interproximal severa
Imagen radiolúcida en unidades dentarias #85 (mesial )y #83 (distal) con presencia de caries dental interproximal
TERCERA IMAGEN
Imagen radiolúcida de la unidad dentaria #46 con caries dental interproximal avanzada al igual que la unidad dentaria #45, también se observa un ensanchamiento del ligamento periodontal
CUARTA IMAGEN:
Imagen radiolucida donde se presencia un ligamento periodontal ensanchado
Imagen radiopaca de la unidad dentaria #46 donde se aprecia una pérdida ósea horizontal generalizada y discontinuidad de la lámina
QUINTA IMAGEN:
Imagen radiolúcida de unidades dentarias #31 ,#32, #41 y #42 donde se aprecia el espacio del ligamento periodontal ensanchado
Imagen radiopaca con la presencia de una reducida altura de la cresta alveolar
SEXTA IMAGEN:
Imagen radiopaca de unidad dentaria #37, con bordes radiolúcidos donde se aprecia una restauración interdental defectuosa. Imagen radiolúcida compatible con caries interproximal en distal .Imagen radiopaca donde se observa reducción de altura de la cresta alveolar. Imagen radiolúcida compatible con ligamento periodontal ensanchado. Unidad dentaria #36 radiolucida referente a caries dental interproximal en distal.
SÉPTIMA IMAGEN:
Imagen radiopaca de Unidad dentaria #47 compatible con altura de cresta alveolar reducida.Imagen radiopaca donde se observa restauración oclusal. Imagen radiolúcida compatible con espacio del ligamento periodontal ensanchado.
Este comentario ha sido eliminado por el autor.
EliminarHiromy Nakata
EliminarC.I: 24644567
Seccion: 103OD
1. Uso e importancia de cada tipo de radiografía
-Radiografía dental interproximal: Se utiliza para estudiar el espacio interproximal, para diagnosticar caries interproximal o recidivante, permite estudiar la cresta ósea interdentaria, permite la evaluación del contorno de restauraciones, permite estudiar las zonas de unión entre los dientes. Este tipo de radiografía es importante ya que permite determinar si existen caries en estas zonas o no, y. diagnosticando así caries en estas zonas y demuestran cómo los dientes se tocan los unos con los otros (u ocluyen).
-Radiografía dental periapical: Se utiliza para estudiar y evaluar lesiones apicales, enfermedad periodontal, presencia de caries profundas, para la previa evaluación al realizar un tratamiento de conducto, observar fracturas en el diente, resorciones. Es importante ya que esta proporciona una vista de todo el diente, desde la corona hasta el hueso que ayuda a soportar el diente, permitiendo evaluar la pieza completa.
-Radiografía panorámica u ortopantomografía: Se utiliza para determinarla presencia de enfermedad periodontal avanzada, quistes en los huesos de la mandíbula, tumores de la mandíbula y cáncer oral, para evaluar dientes impactados, para observar enfermedades de la mandíbula, para evaluar la presencia de sinusitis y para la planeación de tratamientos, como lo serian dientes postizos, aparatos dentales, extracciones e implantes. Es importante ya que permite obtener imágenes de la boca en una sola toma, proporcionando detalles de los huesos, sentido y forma de los dientes y mandíbula.
-Radiografía Oclusal: Se utiliza para observar para localizar raíces retenidas de dientes extraídos, quistes o tumores en maxilar, observar límites de lesiones quísticas o tumorales, dientes supernumerarios, no erupcionados o impactados, para el estudio de áreas grandes de los maxilares superiores e inferiores, cuerpos extraños, y para evaluar fracturas de maxilar o mandíbula. Es importante ya que permite visualizar las estructuras presentes en el suelo de la boca o en el paladar, mostrando la mordida de la mandíbula superior o inferior y destaca el desarrollo de los dientes temporales de los niños y dientes permanentes.
María Paula Contreras
ResponderEliminarC.I: 25702380
sección: 1030D
Uso e importancia de cada tipo de radiografía
Radiografía interproximal
USOS:
• permite el estudio del espacio interproximal.
• Permite el diagnóstico de caries interproximales.
• Permite el diagnóstico de caries recidivante.
• Permite el estudio de la cresta ósea interdentaria.
• Permite evaluar el contorno de las restauraciones.
• Estudiar la relación-cámara pulpar.
• Estudiar la relación restauración- cámara pulpar.
IMPORTANCIA: La finalidad de la radiografía interproximal es detectar posibles caries que estén situadas en el espacio entre dos dientes o evaluar el estado de la corona del tejido periodontal, así como para determinar la altura de la cresta alveolar, posibles alteraciones pulpares, ajustes de prótesis fija, etc.
Radiografía periapical:
USOS:
• Detección de una inflamación/infección apical.
• Evaluación del estado periodontal.
• Tras un traumatismo dental y del hueso alveolar asociado.
• Evaluación de la presencia y la posición de dientes que aun no han erupcionado.
• Evaluación de la morfología de las raíces previa a una extracción.
• Durante una endodoncia.
• Evaluación preoperatoria y control postoperatorio de una cirugía apical.
• Evaluación detallada de quistes apicales y otras lesiones dentro del hueso alveolar.
• Evaluación postoperatoria de implantes.
IMPORTANCIA: Una radiografía periapical forma parte de las denominadas radiografías intraorales, con el fin de obtener imágenes completas de uno o dos dientes y estudiarlo en su totalidad: ápice, corona, raíz, tejido óseo y espacio periodontal.
Radiografía oclusal:
USOS:
• Evaluación periapical de los dientes superiores anteriores, especialmente en niños, pero también en adultos incapaces de tolerar soportes periapicales.
• Detección de la presencia de caninos sin erupcionar, dientes supernumerarios y odontomas.
• Como proyección de la línea media, cuando se utiliza el método de paralaje para determinar la posición bucopalatina de caninos no erupcionados.
• Evaluación del tamaño y de la extensión de lesiones como quistes o tumores en la parte anterior del maxilar superior.
• Evaluación de fracturas de los dientes anteriores y del hueso alveolar. Resulta especialmente útil en niños tras un traumatismo, porque la colocación del receptor de imagen es directa.
IMPORTANCIA: la finalidad de la radiografía es la obtención de una imagen que pueda indicar los posibles problemas de oclusión dental.
Radiografía panorámica:
USOS:
• Cuando una lesión ósea o un diente no erupcionado es de un tamaño que impide su visualización completa con radiografías intraorales.
• Como parte de la evaluación del hueso periodontal, cuando existen bolsas formadas de más de 6mm.
• Para la valoración de los terceros molares antes de una intervención quirúrgica programada.
• Como parte de la evaluación ortodóncica cuando existe la necesidad clínica de conocer el estado de la dentición y la presencia/ausencia de dientes.
• Sirve para evaluar fracturas en todas las partes de la mandíbula, excepto en la región anterior.
• Evalúa patología sinusual, en particular del suelo y de las paredes posterior y medial de los senos.
• Enfermedades en la que se destruyen las superficies articulares de la ATM.
• La altura en vertical del hueso alveolar como parte de la planificación previa a implantes.
IMPORTANCIA: es una radiografía que permite la visión completa de los maxilares y sus estructuras en una sola placa. Con menor exposición de radiación para el paciente, pero no con la precisión y nitidez de una periapical.
Maria Paula Contreras
ResponderEliminarC.I: 25702380
Sección: 1030D
INTERPRETACIÓN RADIOGRÁFICA:
• Primera imagen: Radiografía periapical de la zona postero inferior donde se observa a nivel de la corona de la UD#36, pérdida de sustancia dentaria debido a un proceso carioso. A nivel apical se observa una zona radiolucida de bordes irregulares compatible con absceso periapical crónico.
La zona radiolucida periapical a nivel del ápice de la UD#35, que se puede confundir con una osteítis rarificante, pero se ven los elementos periodontales, lo que sugiere sea la papila dental. La flecha verde señala al agujero mentoniano.
• Segunda imagen: En la UD#55 por mesial superior y en la UD#54 por distal superior se observa imagen radiolucida pequeña compatible con caries interproximal incipiente en en la zona más externa del esmalte. En UD#83 se observa por distal imagen radiolucida relacionada con caries interproximal incipiente inferior. En UD#85 se observa por mesial radiolucidez en la dentina, pero sin diseminación evidente en la dentina compatible con caries interproximal moderada. En UD#84 radiolucidez con evidente compromiso de la dentina.
• Tercera imagen: En UD#46 se observa en distal imagen radiolucida difusa compatible con caries profunda dentinaria, la lesión ha pasado el limite amelodentinario y en mesial se observa radiolucidez en la dentina compatible con caries interproximal moderada. En UD#45 se observa en distal imagen radiolucida difusa compatible con caries profunda dentinaria, hay compromiso de esmalte y dentina.
• Cuarta imagen: imagen radiopaca que muestra pérdida ósea grave horizontal típica de la periodontitis crónica que afecta a la UD#45 y 46
• Quinta imagen: en la UD 31, 32, 41 y 42 se observa imagen radiopaca con ensanchamiento de ligamento periodontal. Muestra pérdida ósea moderada horizontal que afecta a los incisivos inferiores.
• Sexta imagen: UD 35, 36 y 37 se observa imagen radiopaca con ensanchamiento del ligamento periodontal. Se observa en UD#37 imagen radiopaca relacionado a una restauración defectuosa ocluso-proximal. También imagen radiolucida en UD#36 compatible con caries recurrente dental interproximal incipiente en distal.
• Séptima imagen: Se observa en UD#47 imagen radiopaca compatible con restauración oclusal. Imagen radiopaca compatible con espacio del ligamento periodontal ensanchado, cresta alveolar reducida de forma vertical por mesial.
Daniela Fernandez
ResponderEliminarCI: 25049905
Seccion 103OD
Uso e importancia de cada tipo de radiografía
Radiografía periapical: Es una técnica muy usada debido a que sirven para explorar el diente en su totalidad, desde la corona hasta el ápice, el espacio periodontal y el tejido óseo que lo rodea
USOS: Para evaluar lesiones apicales, fracturas radiculares y coronales, caries profundas, resorciones, enfermedad periodontal, realizar tratamientos de conducto, individualizar un diente específico.
Radiografía interproximal: Es una técnica en la cual se observan las coronas de los dientes superiores e inferiores y la cresta alveolar en una misma radiografía.
USOS: Examinar las superficies proximales de los dientes, hueso de la cresta, áreas interproximales. Con la técnica se logra detectar: caries temprana, nivel de la cresta ósea alveolar y presencia de cálculo
Radiografía oclusal: Es la técnica de elección cuando el área de interés es más grande que una periapical y es de gran importancia ya que permite la obtención de una imagen que pueda indicar los posibles problemas de oclusión dental.
USOS: Examinar áreas grandes de los maxilares superiores e inferiores. Además se usa para localizar raíces retenidas de dientes extraídos, sientes supernumerarios, no erupcionados o impactados, cuerpos extraños, quistes o tumores en maxilar y para evaluar fracturas de maxilar o mandíbula.
Radiografía panorámica: esta técnica es importante ya que con ella se puede obtener una sola imagen de las estructuras faciales que incluya las arcadas superior e inferior y los elementos de soporte
USOS:
- Evaluación de terceros molares
- Evaluación de traumatismos
- Retención de dientes, remanentes radiculares
- Detención temporal, mixta y permanente
- Anomalías del desarrollo
- Quistes o tumores de los maxilares
- Enfermedad periodontal
Este comentario ha sido eliminado por el autor.
ResponderEliminarOriana Cárdenas Galeazzi
ResponderEliminarC.I. 25.921.578
Seccion: 103OD
Uso e importancia de cada tipo de radiografia:
1- R. PERIAPICAL: diseñadas para mostrar dientes individales y los tejidos entorno a los ápices, entre sus usos podemos encontrar: detección de inflamacion o infeccion ápicales, valoración del estado periodontal, valoración de la morfología radicular antes de extracciones, realizar tratamientos de conducto, evaluación de implantes, caries profundas, resorciones.
2. R. OCLUSAL: Es la técnica de elección cuando el área de interes es más grande que una periapical. permite examinar áreas grandes de los maxilares superiores e inferiores, se usa para localizar raices retenidas de dientes extraidos, dietes supernumerarios impactados o no erupcionados, cuerpos extraños, quistes en el maxilar y tambien para evaluar posibles fracturas de maxilar o mandíbula.
3. R. INTERPROXIMAL: En esta técnica se observan las coronas de los dientes superiores e inferiores y la cresta alveolar en una misma radiografía. Se utiliza para examinar las superficies proximales de los dientes, áreas interproximales, hueso de la cresta, detectar caries tempranas así como tambien el nivel de la cresta alveolar.
4. R. PANORÁMICA: Esta presenta una imagen donde se puede observar de manera general todos los dientes, incluidos el maxilar y la mandíbula. entre sus usos se pueden encontrar la evaluaacion de enfermedad periodontal, traumatismos, evolución de terceros molares, enfermedades que puedan afectar la mandíbula o el maxilar, retención de dietes o anomalias del desarrollo.
Nombre: Marian Freitez.
ResponderEliminarCI: 26.555.006
Sección: 1030D.
Uso e importancia de cada tipo de radiografía.
1)Radiografía periapical: tiene como principal propósito evaluar fracturas radiculares, caries profundas, lesiones apicales, reabsorciones, enfermedad periodontal, individualizar un diente específico y realizar tratamiento de conducto. Es importante puesto que nos permite explorar el diente en su totalidad desde la corona hasta el ápice, el espacio periodontal y el tejido óseo que lo rodea.
2)Radiografía interproximal: también conocida como aleta de mordida, ya que el paciente muerde una aleta para mantener la película en su lugar, se utiliza para examinar las superficies proximales de los dientes, hueso de la cresta, áreas interproximales y con la misma se logra detectar caries temprana, presencia de calculo, fracturas, obturaciones, hipoplasia del esmalte, reabsorciones, espacio del ligamento y cuerpos extraños. Es importante ya que nos permite observar las coronas de los dientes superiores e inferiores y la cresta alveolar en una misma radiografía.
3)Radiografía oclusal: se usa para localizar raíces retenidas de dientes extraídos, localizar dientes supernumerarios, no erupcionados o impactados, cuerpos extraños, cálculos en los conductos salivales de las glándulas salivales, evaluar la extensión y localizar lesiones (quistes o tumores en maxilar) y fracturas en maxilar y mandíbula. Es una técnica complementaria importante ya que permite examinar áreas grandes de los maxilares superiores e inferiores.
4)Radiografía panorámica: se utiliza principalmente para la evaluación de dientes impactados, patrones de erupción, crecimiento y desarrollo, detección de enfermedades, lesiones y alteraciones de los maxilares, examen de la extensión de lesiones grandes y evaluación de traumatismos. Es de gran importancia ya que es la única que se emplea para obtener una imagen de ambos maxilares y sus estructuras vecinas en una sola película siempre que se mantenga la calidad de la radiografía convencional.
Este comentario ha sido eliminado por el autor.
ResponderEliminarEste comentario ha sido eliminado por el autor.
ResponderEliminarDiliana A Herrera W
ResponderEliminar25.821.849
Sección 10301
Imagen #1- RADIOGRAFÍA INTERPROXIMAL: es importante para el estudio sistemático y la exploración del espacio interproximal,también de lo oclusal. Ya que esta permite obtener una imagen de las coronas, así como de las crestas alveolares, obteniendo al mismo tiempo imágenes de los dientes superiores e inferiores.
Su función es para poder Visualizar : caries interproximales y oclusales, estudiar la cresta ósea interdentaria, evaluar el contorno de las restauraciones, visualizar ajustes de prótesis fijas, reabsorciones de esmalte y dentina
Imagen # 2- RADIOGRAFÍA PERIAPICAL: Es importante ya que gracias a este tipo de radiografías se puede estudiar cualquier parte de la unidad Dentaria: raíz, ápice, corona y tejido óseo.
La función de esta radiografía Es para detectar enfermedad periodontal, también se pueden visualizar caries profundas y otras lesiones como también los tratamientos de conductos,
Imagen # 3- RADIOGRAFÍA OCLUSAL: muestran la imagen de un arco dental en una sola película, permitiendo un estudio amplio fracturas, palatinas o del cuerpo mandibular, es importante porque se observa una mejor visión de las estructuras que se localizan en el paladar y suelo de la boca.
Está Funciona para poder Localizar raíces de piezas extraídas, localizar miembros supernumerarios no erupcionados.
Imagen # 4- RADIOGRAFÍA PANORÁMICA: Es importante porque en una sola radiografía obtenemos toda la información del estado general de las unidades dentarías.
Funciona para: estudiar el espacio interproximal, para diagnosticar caries interproximal o recidivante, permite estudiar la cresta ósea interdentaria, permite la evaluación del contorno de restauraciones, permite estudiar las zonas de unión entre los dientes.
Arianna González
ResponderEliminarCI:26.337.831
Sec: 103OD
1. USOS E IMPORTANCIA DE CADA TIPO DE RADIOGRAFÍA
RADIOGRAFÍA INTERPROXIMAL
USOS:
• Estudio del espacio interproximal.
• Diagnóstico de caries interproximales y recidivantes.
• Estudio de la cresta ósea interdentaria.
• Evaluación del contorno de las restauraciones.
• Estudio de la relación-cámara pulpar.
• Estudio de la relación restauración-cámara pulpar.
IMPORTANCIA:
La finalidad de la radiografía interproximal es detectar posibles caries que estén situadas en el espacio entre dos dientes o evaluar el estado de la corona del tejido periodontal, así como para determinar la altura de la cresta alveolar, posibles alteraciones pulpares, ajustes de prótesis fija, etc.
RADIOGRAFÍA PERIAPICAL
USOS:
• Detección de una inflamación/infección apical.
• Evaluación del estado periodontal.
• Evaluación de la presencia y la posición de dientes que aún no han erupcionado.
• Evaluación de la morfología de las raíces previa a una extracción.
• Durante tratamientos de endodoncia.
• Evaluación preoperatoria y control postoperatorio de una cirugía apical.
• Evaluación detallada de quistes apicales y otras lesiones dentro del hueso alveolar.
• Evaluación postoperatoria de implantes.
IMPORTANCIA:
Una radiografía periapical forma parte de las denominadas radiografías intraorales, con el fin de obtener imágenes completas de uno o dos dientes y estudiarlo en su totalidad: ápice, corona, raíz, tejido óseo y espacio periodontal.
RADIOGRAFÍA OCLUSAL
USOS:
• Evaluación periapical de los dientes superiores anteriores, especialmente en niños, pero también en adultos incapaces de tolerar soportes periapicales.
• Detección de la presencia de caninos sin erupcionar, dientes supernumerarios y odontomas.
• Proyección de la línea media.
• Evaluación del tamaño y de la extensión de lesiones como quistes o tumores en la parte anterior del maxilar superior.
• Evaluación de fracturas de los dientes anteriores y del hueso alveolar.
IMPORTANCIA:
La finalidad de la radiografía es la obtención de una imagen que pueda indicar los posibles problemas de oclusión dental.
RADIOGRAFÍA PANORÁMICA:
USOS:
• Cuando una lesión ósea o un diente no erupcionado es de un tamaño que impide su visualización completa con radiografías intraorales.
• Como parte de la evaluación del hueso periodontal, cuando existen bolsas formadas de más de 6mm.
• Para la valoración de los terceros molares antes de una intervención quirúrgica programada.
• Como parte de la evaluación ortodóntica cuando existe la necesidad clínica de conocer el estado de la dentición y la presencia/ausencia de dientes.
• Sirve para evaluar fracturas en todas las partes de la mandíbula, excepto en la región anterior.
• Evalúa patología sinusual, en particular del suelo y de las paredes posterior y medial de los senos.
• Enfermedades en la que se destruyen las superficies articulares de la ATM.
• La altura en vertical del hueso alveolar como parte de la planificación previa a implantes.
IMPORTANCIA:
Es una radiografía que permite la visión completa de los maxilares y sus estructuras en una sola placa. Con menor exposición de radiación para el paciente, pero no con la precisión y nitidez de una periapical.
Arianna Gonzalez
ResponderEliminarCI: 26.337.831
Sec: 103OD
3. Realice la interpretación radiográfica
Primera imagen: imagen radiolúcida de bordes irregulares, a nivel del segundo premolar inferior izquierdo 35, compatible con lesión apical, se observa imagen radiolúcida de bordes irregulares a nivel coronal de primer molar inferior derecho 36, compatible con lesión de caries profunda, se observa también un ensanchamiento del espacio del ligamento periodontal e imagen radiolucida de bordes irregulares a nivel de la raíz mesial compatible con lesión apical.
Segunda imagen: Imágen radiolúcida de bordes irregulares a nivel interproximal, mesial a 55 y distal de 54 compatible con caries incipiente. Imagen radiolúcida de bordes irregulares compatibles con caries avanzada en dentina y a nivel coronal mesial de 85 y distal de 84 caries profunda con compromiso pulpar. Se observa nivel coronal distal de 83 imagen radiolúcida de bordes irregulares compatibles con caries incipiente
Tercera imagen: Se observa imagen radiolúcida de bordes irregulares a nivel coronal distal de primer molar inferior izquierdo 36 compatible con caries profunda o avanzada con compromiso de pulpa. Se observa imagen radiolúcida de bordes irregulares a nivel coronal distal de segundo premolar inferior izquierdo 35, compatible con caries profunda con compromiso de pulpa.
Cuarta imagen: Imagen radiolúcida con ligamento periodontal ensanchado. Imagen radiopaca de la unidad 46. También se aprecia perdida de la altura de la cresta ósea.
Quinta imagen: Imagen radiolúcida la cual presenta una dilaceración hacia distal en los incisivos centrales 31 y 41. Imagen radiopaca en UD 31, 32, 41, 42, con ensanchamiento del ligamento periodontal. Además se observa pérdida ósea horizontal, con pérdida de altura de la cresta ósea
Sexta imagen: Imagen radiopaca con ensanchamiento del ligamento periodontal en 35, 36, 37. Imagen radiopaca por restauración defectuosa en 37. Imagen radiolúcida con lesión interproximal en UD 36. Además se observa pérdida de altura de cresta ósea
Séptima imagen: Imagen radiolúcida con reabsorción ósea, periodontitis y cálculo en UD 47. Además se observa pérdida de la altura de la cresta ósea.
4. Describa como se observan radiográficamente las estructuras que permiten realizar el diagnóstico del estado periodontal
1. Hueso alveolar: La imagen radiográfica tiende a presentar pérdida ósea menor que la real. La diferencia entre la altura real de la cresta alveolar y la altura que aparece en la radiografía varía de 0 a 1.6 mm.
2. Ligamento periodontal: Ensanchamiento del espacio del ligamento periodontal (el valor normal es de 0.25 mm +/- 50% -- de 0. 13 a 0. 38 de mm).
3. Raíz: Se debe evaluar, desde el punto de vista del enanismo radicular, la reabsorción radicular, la hipercementosis, las fracturas radiculares, entre otros.
4. Cálculos: Radiográficamente, se observan como opacidades en formas diversas de punta aguda o irregulares, que se extienden desde la superficie radicular proximal (como zonas anulares, proyecciones nodulares o radiopacidades lisas).
Este comentario ha sido eliminado por el autor.
ResponderEliminarLuisannys Martinez
ResponderEliminarc.i: 25266741
sección: 103OB
Radiografia periapical: es una técnica exploratoria consistente en la colocación dentro de la boca de placas radiográficas de diferente tamaño que son impresionadas, desde el exterior, por un aparato de rayos X. Es importante porque es una técnica que nos ayudara a explorar toda la zona alveolo dentaria, desde la corona dentaria al área periapical, visualizando el espacio periodontal y el hueso maxilar que rodea al diente. USO: permite la evaluación de la presencia y la posición de dientes que aun no han erupcionado, evaluación de la morfología de las raíces previa a una extracción y durante una endodoncia se utiliza al principio y al final de haber hecho el tratamiento.
Radiografia interproximal: Las técnica de radiografía intrabucal interproximal también es conocida con el nombre de técnica de aleta mordida, lo cual indica el modo de sujeción de la placa. Esta radiografía es importante porque permite determinar si existen caries incipientes y permite observar en una misma radiografia coronas superiores e inferiores. USO: Permite el estudio del espacio interproximal, el diagnostico de las caries interproxima, también el diagnostico de las caries recidivante y el estudio de la cresta ósea interdentaria.
Radriografia oclusales: es una la placa que se coloca sobre la de la arcada inferior y es mantenida por el paciente entre las dos arcadas como si estuviera mordiendo algo. Es importante ya que es un complemento de los procedimientos periapicales para estudios más amplios de áreas óseas, ya que permite visualizar las estructuras presentes en el suelo de la boca o en el paladar. USO: permite observar los límites de lesiones quísticas o tumorales, dientes incluidos y cuerpos extraños.
Radiografia panoramica: es importante porque es una técnica radiológica que representa en una única película una imagen general de los maxilares, la mandíbula y los dientes. USO: permite la Evaluación de los terceros molares, traumatismos, retención de dientes, remanentes radiculares y pacientes edentulos.
luisannys martinez
ResponderEliminar25266741
sección: 103OB
Radiografías
1era imagen: se observa la unidad dentaria #36, es una imagen en donde se ve una zona radiolucida a nivel de la coronal la cual es compatible con una caries, en donde se muestra que el esmalte, dentina y pulpase encuentran comprometidos. A nivel del apice de las unidades dentales #35 y #36 se observa lesiones apicales.
2da imagen: se observa una imagen radiolucida en unas unidades #55 por mesial y #54 por distal donde se relaciona una caries incipiente interproximal. En la zona distal de la unidad dental #83 por distal tambien se observa una caries incipiente mientras que de la unidad dentaria #85 se observa una radiolucidez en la dentina, pero sin diseminación evidente en la dentina es decir, una caries moderada. La unidad #84 se evidencia una caries interproximal severa.
3era imagen: se observa en la unidad #46 una radiolucidez compatible con una caries dental interproximal avanzada, una zona radiolucida compatible con el espacio del ligamento periodontal ensanchado.
4ta imagen: se observa una imagen radiopaca donde se evidencia una pérdida ósea horizontal generalizada afectando las unidades dentaria #46, #45 y #44
5ta imagen: se observa una imagen radiolucida con ensanchamiento de ligamento periodontal de las unidades #31, #32, #41 y #42. Muestra una imagen radiopaca en donde se observa una altura de la cresta alveolar reducida de forma generalizada.
6ta imagen: se observa en las unidades #35, #36, y #37 una imagen radiopaca con ensanchamiento del ligamento periodontal. En la unidad #37 una imagen radiopaca compatible con una restauración oclusoproximal con bordes radiolucidos mostrando una restauración defectuosa. En la unidad #36 es compatible con una caries incipiente por distal ya que se observa una imagen rediolucida.
7ma imagen: se observa en la unidad #47 una zona radiopaca compatible con una restauración oclusal, una imagen radiopaca en el espacio del ligamento periodontal.